Акценти

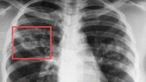
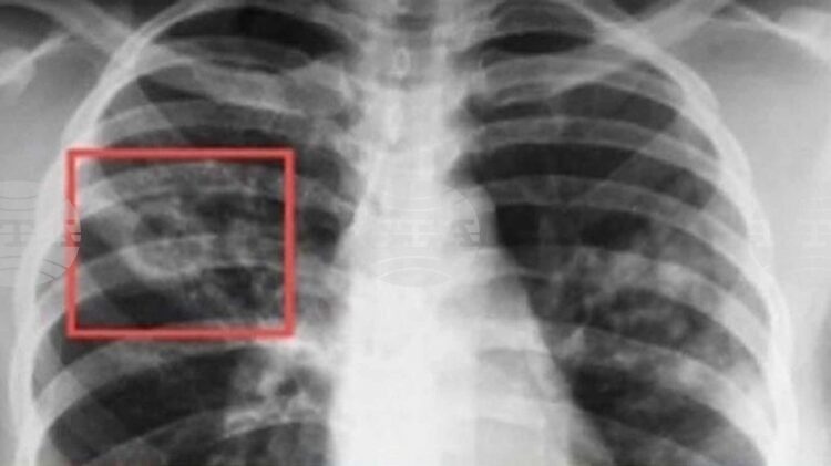
Безплатни прегледи за риск от туберкулоза в Плевен от 23 до 26 септември в болница „Д-р Георги Странски“_68c9053516ebb.jpeg

605aedee41237653f3bbdc55acdd0876

Прочетете също:

Първо ученическо изложение Къде след 7-ми? събира 18 гимназии в Плевен на 17 март

Първо ученическо изложение под наслов „Къде след 7-ми?“ ще се състои в Плевен на 17 …